Full Mouth Rehab

Happy, healthy smiles are our focus.

If so, you may be a candidate for a Full Mouth Reconstruction

Full Mouth Rehabilitation
Full mouth rehabilitation
Full mouth rehabilitation

What is a full mouth reconstruction?

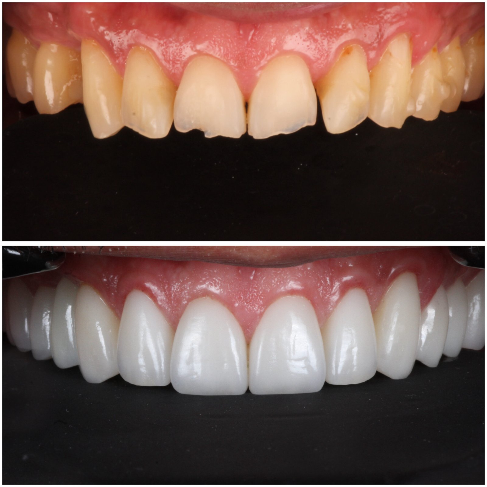
A Full mouth reconstruction is more than just a smile makeover.  It is also sometime called a Full Mouth Rehabilitation, Full Mouth Rehab or FMR.   It is a complete overhaul of your bite, oral health and smile.   It often includes a porcelain veneer or crown on every or almost every tooth in your mouth.

People who qualify for this or need this usually fall into one of two categories.
  1. They haven’t been to the dentist in many years.  And when you look in your mouth, almost every tooth looks chipped or broken.  Many teeth may have holes or cavities in them, and often there is a lot of old dentistry that is falling apart and doesn’t match anything.
  2. Some people who need a full mouth reconstruction, have been going to the dentist their whole life. They follow up with suggested treatment, but it seems like every year or so you need more dental treatment.   Unfortunately, sometimes the dentistry is not as good as you hoped it would be, or even if it was okay, after awhile the whole mouth looks like nothing matches or fits together properly. 


When I see this, it’s time to offer a Full Mouth Reconstruction.  With a FMR we can rewind time on the years and decades of damage and get the person to the end of their life chewing, laughing and smiling with confidence.

full mouth rehab
part of full mouth rehab
Broken Teeth fixed with Veneers
Chipped lower teeth fixed with porcelain veneers

Can I get a Full Mouth Reconstruction (FMR) even if I’ve been told I need dentures?

Possibly.  When someone needs dentures, it’s usually either because the whole mouth is full of broken or worn down teeth OR they have very advanced gum disease.  Gum disease destroys the bone that holds the teeth in.  If the gum disease has advanced too far and the teeth are loose or almost loose then a FMR will not work.  It doesn’t make sense to fix the broken teeth when the foundation is weak. In that case, implants and dentures are a better option.

If the teeth are broken and worn down, but the gums are relatively healthy, then keeping teeth is usually a better choice than pulling your teeth and getting implants and dentures.  Even the highest quality implants and dentures will not feel as good, look as good or last as long as natural teeth that are taken care of.

Unfortunately, not all dentists know how to properly do this type of advanced dentistry.  Sometimes to the best of their knowledge the teeth are not fixable and it is recommended all the teeth come out and dentures made. I have restored the mouth and smiles of many patients that had been told by other dentists that their teeth are hopeless. 

More often, I have patients that hate their teeth, don’t think they want or need dentures, but didn’t know there was a way to restore their smile.  They thought veneers or smile makeovers were only for celebrities or those with already okay looking teeth.  You can look through the various smiles on this page and in my smile gallery and see this is not the case.  

How can I afford a Full Mouth Rehab?

Since we are redoing every tooth or almost every tooth in a person’s mouth, it is one of the more costly treatments in dentistry with fees in my office ranging anywhere from $25,000 – $60,000 depending on the complexity of the case and the number of teeth involved.

People will often compare the cost of a FMR to the cost of a car.  The people who usually get a FMR are the people who realize that smiling, chewing and laughing with confidence are some of the greatest joys we have in this life, to the end of our days.  And having a healthy mouth and smile will make you live better and longer.   In my mind to compare the benefits of a healthy mouth and smile to a vehicle that gets us places and diminishes in value the day you drive it off the lot, is not a fair comparison. I know some people agree with me. Unfortunately, I don’t have the billions of dollars the auto industry has to spend on marketing to help convince the public of this. This webpage and my social media presence will have to do! If you’re still reading this, perhaps you agree with me.

Sometimes to make the FMR more affordable we can break the treatment down over time.  Do some teeth now, and some teeth later. Depending on your “bite” and the way your teeth fit together sometimes this is possible and sometimes it’s not. But, I will always work with your budget to try to give you best smile and rehab you can afford.  It’s usually not an all or nothing approach.  I will work to find something that works for you.

We also work with several outside financing companies such as Care Credit, Wells Fargo and Proceed Finance so if you have good credit (usually 650-700+) you can pay over time with little to no interest.

What’s the best way to get started with a Full Mouth Rehab Smile Makeover?

The best way is to click the link below  and do a FREE online virtual consult.  You click on this link, submit a couple selfies and tell me your concerns and I’ll send you back a personal video explaining your options and costs.   Then, if what I say makes sense for you, we will move forward with an in person consult.  

I can help you! Stay out of dentures!

Full Mouth Rehab
Full Mouth rehab 2
Full Mouth Rehab with Veneers and Crowns
Full Mouth Rehab with Veneers and Crowns
Full Mouth Rehab - Smile Makeover Porcelain Veneers
Full Mouth Rehab - Smile Makeover Porcelain Veneers

Do You Want To Improve Your Smile?

TAKE OUR VIRTUAL CONSULT to find out some of your options.

Virtual Consult at Austin Artistic Dental bg img

What Our Patients Are Saying

Testimonials