Smile Makeover Gallery

Natural Looking Beautiful Smiles to Change Your Life

Are you looking to fix your teeth, or do you want a smile that you love?

Browse below to see various ways in which Dr. Hulse has transformed people smiles. Click link below to jump to

Check out the video below to see how your life change and become more confident too!

porcelain veneers

I strive to make my smile makeovers looks NATURAL.

Most People want white teeth. But there is a way to make veneers very white without making them look fake.

Look through all these photos. Photos are very important in cosmetic dentistry. You'll notice that each smile looks a different from each other

I customize each smile for each person. This way you dont' get cookie cutter, toilet bowl white, chicklet looking veneers.

Natural Looking Porcelain Veneers

Porcelain Veneers and Bridges Smile makeover
Porcelain Veneers and Bridges Smile makeover
Natural Looking Porcelain Veneers Smile Makeover Gallery
Natural Looking Porcelain Veneers Smile Makeover Gallery
Porcelain Veneers Smile Makeover
Porcelain Veneers Smile Makeover

Smile Makeover with Porcelain Veneers

Replacing old and mismatched fake looking veneers

10 porcelain veneers replacement
10 porcelain veneers replacement 2

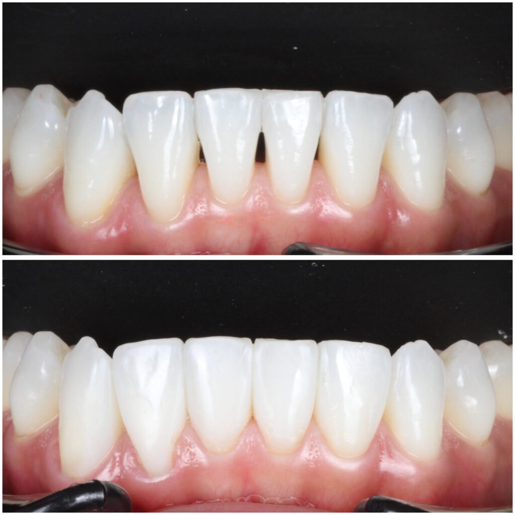
Natural looking veneers with almost no preparation to the teeth

Natural looking Smile makeover
Porcelain Veneer Smile Makeover

Chipped and Broken teeth rejuvenated with porcelain veneers

1-Porcelain-veneers-
2-Best-porcelain-veneers-in-austin-

Gum lift and Porcelain Veneers to change a life and a smile.

Gum lift and Smile Makeover with porcelain veneers
Gum lift and Smile Makeover with porcelain veneers

Old mismatched fake looking veneers replaced with natural looking veneers

Natural Looking Veneers
Natural Looking Porcelain Veneers

Minimal (almost no prep) veneers

Used to reverse time and aging and create a beautiful natural looking smile

Natural Looking Porcelain Veneers
Natural Looking Porcelain Veneers

Two Full Mouth Reconstructions in a row. Notice how every smile is different and tailored to that person's particular smile and face.

Full Mouth Reconstruction with porcelain veneers and crowns
Full Mouth Reconstruction with porcelain veneers and crowns

Porcelain Veneer Smile Makeover

Sometimes the trick is to keep the teeth looking like the persons natural teeth - JUST BETTER

Invisalign and porcelain veneers

Full mouth reconstruction

Sometimes we do veneers not just to make the teeth prettier, but also to make them more healthy.

Full mouth rehab due to cavities

Redoing old veneers to improve the shapes, symmetry and make more natural looking.

Replacement porcelain veneers

This person was born without their lateral incisors and lower canines. Porcelain veneers were used to make the teeth look like the correct and improve, bite, shape and color.

20 porcelain veneers smile makeover

Full Mouth Rehabilitation

This man's teeth had a life time of damage and poorly done dentistry. He wanted to live his life without dentures. So we restored almost every tooth in his mouth. t Here

Full Mouth Rehab

No Prep Veneers

Zero damage was done to these teeth to enhance this smile with veneers.

no shave veneers

20 year old porcelain crowns and bridges

Upgraded to a new more natural looking vibrant smile

Natural Looking Veneers
Natural Looking Porcelain Veneers and bridges

Smile Makeover with 20 Porcelain Veneers

3-smile-makeover-austin
4-smile-makeover-austin-2

4 Cases with Porcelain Veneers & Dental Implants

In this patient was born without two teeth and they were replaced with dental implants. Her old dental implants crowns were too narrow and his she had old bonding that was stained and nothing matched. We were able to widen those implant crowns and give her a perfect smile with porcelain

Porcelain Veneers and Implants Smile Makeover
PORCELAIN VENEERS AND DENTAL IMPLANT REPLACEMENT 3
Porcelain Veneers with Dental Implants
Porcelain Veneers with Dental Implants
porcelain veneers and implants
porcelain veneers and implants
Smile Makeover to replace one missing tooth with a dental implant
Front Tooth lost by internal resorption

Veneer Replacement Smile Makeover - perfect example of how you need to be careful where you get your cosmetic dentistry. I improved her smile AND her bite and function

Replacement Porcelain Veneers
Replacement Porcelain Veneers

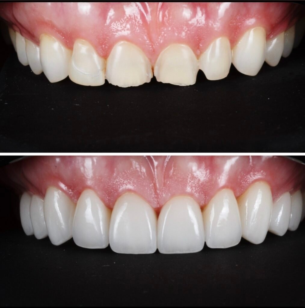
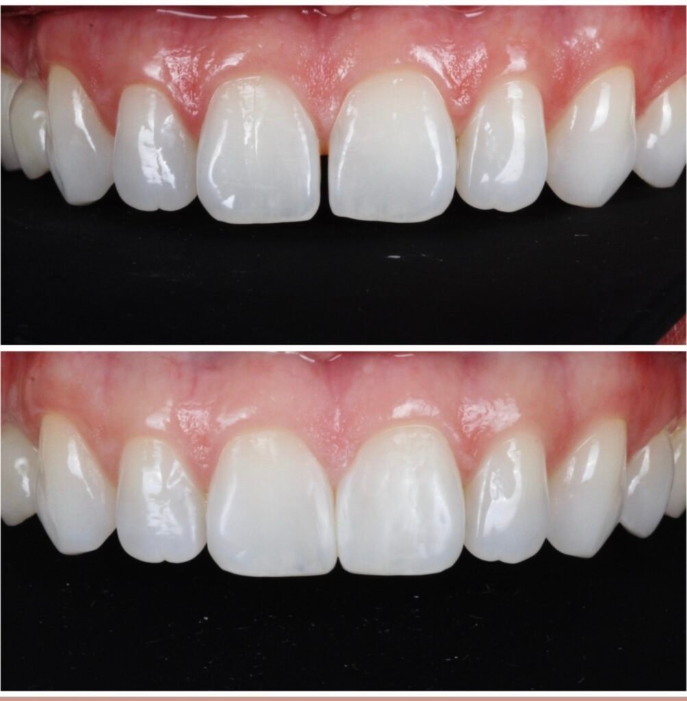
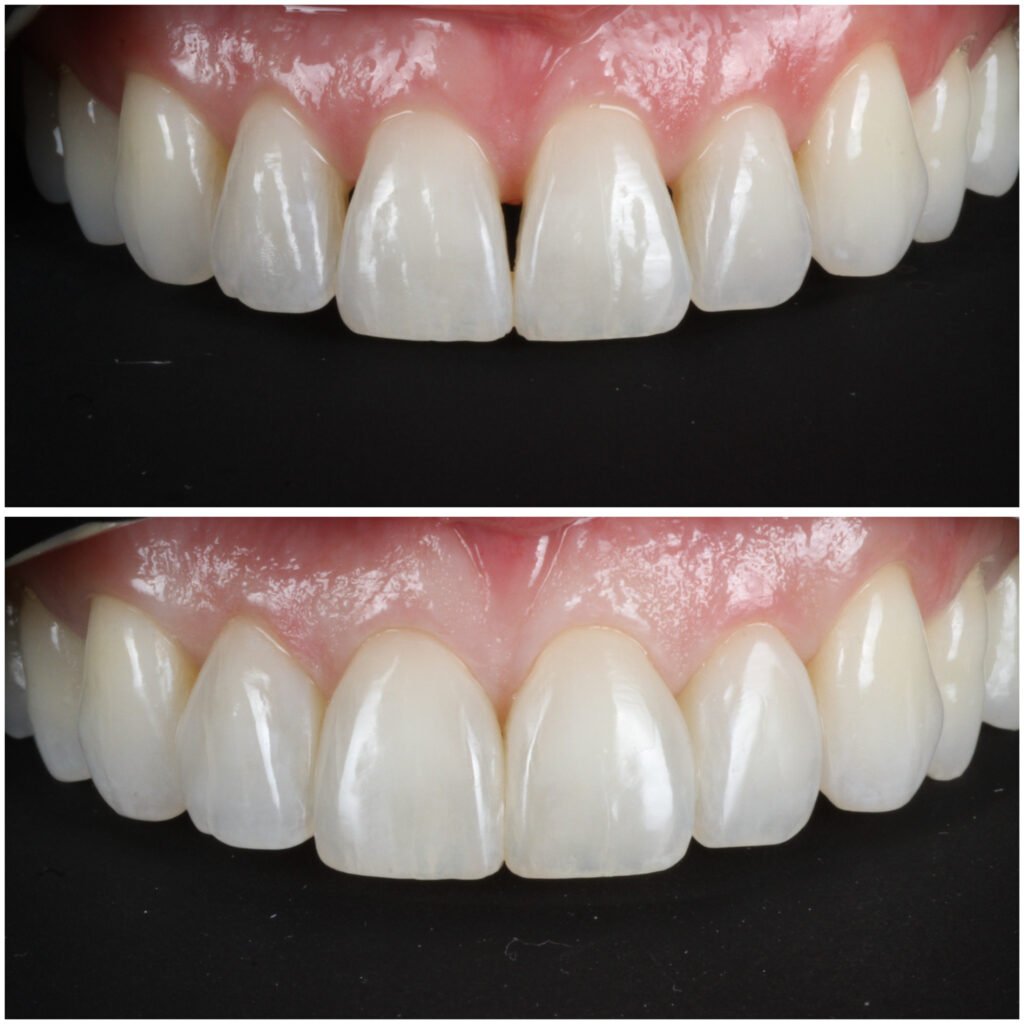
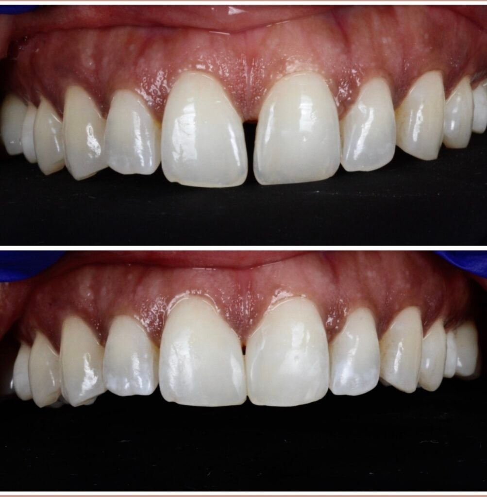
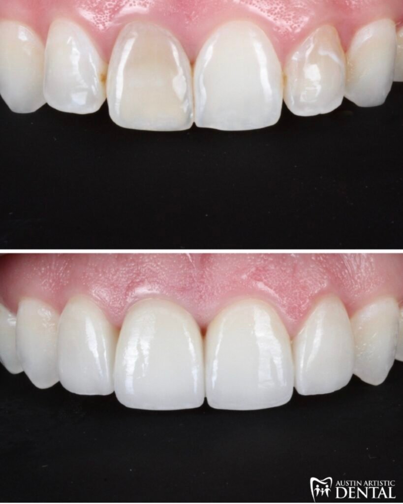
Spaces closed with 4 Porcelain Veneers

4 Porcelain Veneers space closure
4 porcelain veneers diastema closure

Smile Makeovers replacing old non natural veneers and crowns

Smile makeover
Porcelain Crowns and Veneers

Full Mouth Rehabilitation

Sometimes it's not just about making a nice smile. It's also about restoring health and the ability to chew

Full Mouth Rehabilitation

Smile Makeover with Porcelain Veneers

A life time of spaces and newer chips prompted this patient to transform their smile

Veneers to fix spaces

3 Veneers and 1 dental implant

Implant and 3 veneers

Notice how they look like her old teeth, only better!

Smile Makover with Porcelain Veneers

Smile Makeover Replacing Gold Growns

Sometimes people get gold crowns on their teeth when they are younger and want to remove them later. The tricky part is making sure the porcelain veneer replacements blend in perfectly with the other teeth. I always work with Master Ceramcist to make sure the smile looks amazing and natural.
Smile-Makeover-Austin-Artistic-Dental
Smile-Makeover-Austin-Artistic-Dental

This case was a combination of only 1 Porcelain Veneer to replace the Gold Crown, Orthodontics and 1 Bioclear Restoration

Gold Crown Replacement

10 Porcelain Veneers and a Dental Implant

I love this case, because they look like her original teeth, but just nicer.

 

Porcelain Veneers at Austin Artistic Dental

A Cosmetic gum lift and porcelain veneers gave this lady a million dollar smile! P.S. It didn’t cost a million dollars
before-after-veneers-2

Replacement Smile Makeover

This lady had a lifetime of poorly done dental work and chipped teeth. We did a full mouth reconstruction, veneering, and crowning every tooth
in her mouth to give her the smile of her dreams
 
 
 
 
 

Replacement Smile Makeover

This is a great case to show the limitations of only doing 6 veneers. Most of the time we do 10 veneers, so the smile can look more natural and blend with the back teeth better.

While this smile was a huge upgrade, you can see the limitations when looking at the back teeth. She has plans to do the back teeth and complete her smile in the near future.

Two cases of 4 Porcelain Veneer Smile Makeover to Hide Dark Teeth

This is an example that showcases how if we want we can make the veneers look
like your natural teeth ONLY BETTER. 
4 porcelain veneer smile makeover
porcelain veneers to cover up dark teeth
porcelain veneers to cover up dark teeth

4 Veneer Smile Makeover

Another case similar to the one above.  But instead of just covering over dark teeth, we were covering over old damaged, and stained teeth.  But again,  we made them look like her original teeth, BUT BETTER. 

4 porcelain veneer smile makeover
4 porcelain veneer smile makeover

Smile Makeover with Porcelain Veneers

This lovely woman, told me she had been unhappy with her smile her whole life and wish she other dentists in her past had told her this was possible.

Senior Smile Makeover
Porcelain Veneers Smile Makeover

Porcelain Veneer Smile Makeover and Gum Lift

Porcelain Veneers Smile Makeover
Porcelain Veneer Smile Makeover

Smile Makeover with Porcelain Veneers

Porcelain Veneers to restore large cavities
Porcelain Veneers to restore large cavities
Full Mouth Rehab
Full Mouth Rehabilitation
Perfect Smile Makeover
Perfect Smile Makeover

Porcelain Veneers

This beautiful woman had worn down teeth from an eating disorder when she was younger. She got healthy long ago, but needed our help and porcelain veneers to give her the confidence and smile she deserves. If you have tooth damage from bulimia or anorexia, I can help!
Porcelain Veneers
Porcelain Veneers
Porcelain Veneers

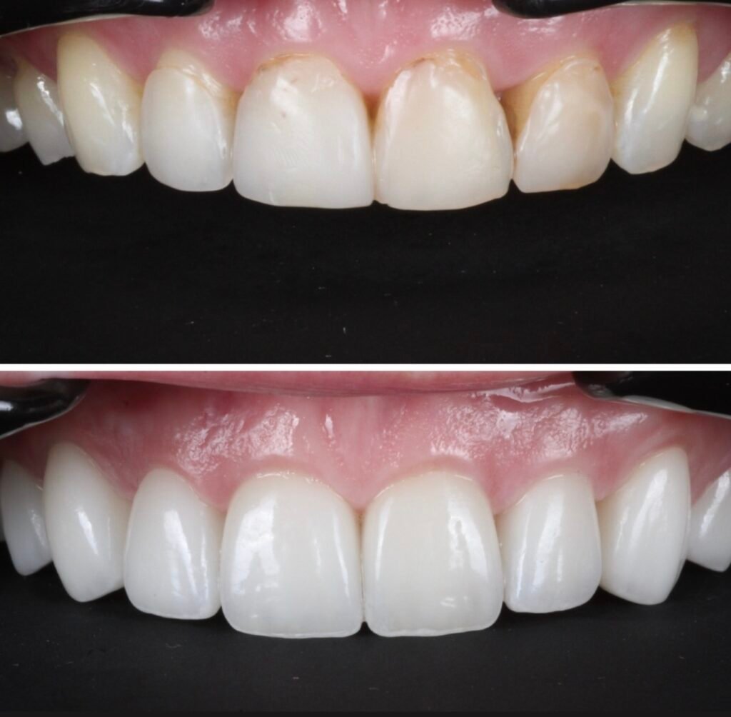
Gum lift and Veneers in Austin

Life changing for sure!

gum lift and porcelain veneers in austin

Austin Artistic Dental Porcelain Veneers

Porcelain Veneers and a Dental Implant were done to change this young mans future. Can you tell which one is the dental implant?
7-Smile-Makeover-porcelain-veneers

Smile transformation with Veneers and Invisalign

Best Porcelain Veneer Smile Makeover
Best Veneers in Austin

Smile Makeover
with 2 Porcelain Veneers

Doing just 2 porcelain veneers and getting them to match and blend in with the other teeth is extremely difficult to do.   But that’s just what we did here.

2 Porcelain Veneers

No Prep Porcelain Veneers

There was zero damage done to these teeth.  The teeth are wider, larger,  whiter and yet they still look like hers.

no prep veneers

Smile Makeover with Porcelain Veneer

This patient always hated her dark front tooth and her chipped teeth. She has been thrilled with her new smile. She said she went to see her family in Mexico, and they did not know she had veneers but they kept asking her about that “great toothpaste they have in the states!”

Porcelain Veneer Smile Makeover

This patient grew up in another country and never had good dental care.  He chose to turn  his smile and life around!

Smile makeover

Smile Makeover with Replacement Porcelain Veneers

She had previously done veneers at a different dentists office, and they lacked the
vibrance and natural look she was going for.

Full Mouth Reconstruction

This is an example of it NEVER being too late! This octogenarian was ready to go out on dates again and wanted his smile back. So we gave it to him!

Full Mouth Rehabilitation

No Prep Veneer Smile Makeover

Besides removing the old failing bonding, there was no preparation done to these teeth.  This is what we call a no prep veneer case.

No prep veneers

Before After Full Mouth Rehab

Sometimes every single tooth needs to be rejuvenated and restored. Dr. Hulse loves doing these full mouth rehabilitations and restoring his patient’s smile..
full mouth rehab

Smile Makeover

I’m often asked if you can do veneers on people who grind. Yes! In fact it is one of the more common reasons people get veneers.

Veneers for ground down teeth

Do you have worn, broke, and chipped teeth? Do you want to chew better and SMILE! Sometimes a full mouth rehabilitation can change you life!

full mouth rehab

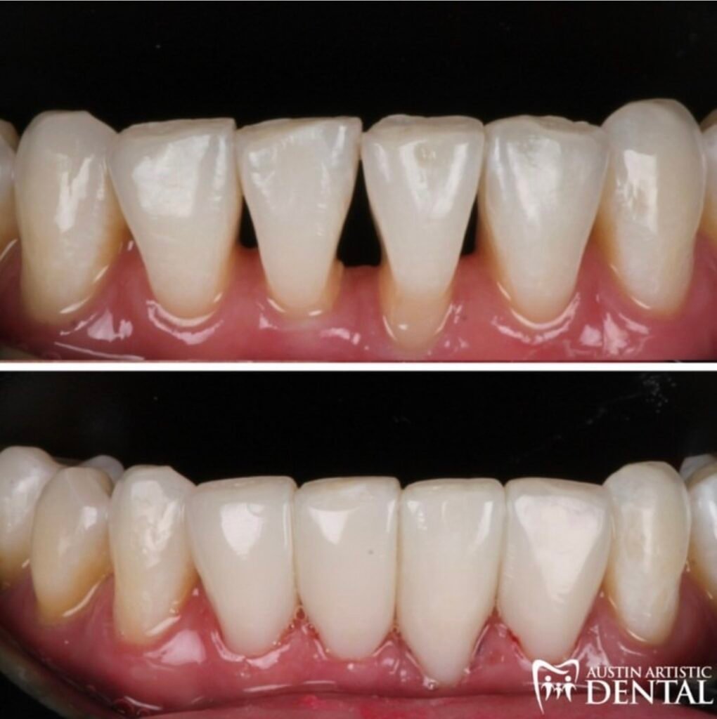
Lower teeth restored as part of a full mouth rehabilitation

lower teeth veneers

Lower Porcelain Veneers to Straighten and Brighten these teeth

Lower teeth porcelain veneers
lower teeth porcelain veneers
Lower teeth veneers

Highlight Veneers

These Highlight Veneers made the teeth stronger, more beautiful and NO DAMAGE or SHAVING WAS DONE TO THE TEETH

Highlight Composite Veneers
Highlight Composite Veneers
Highlight Composite Veneers
Highlight Veneers
highlight Veneer
Highlight composite Veneers Smile Makeover
Smile Makeover with Composite Veneers
Highlight Composite Veneers
Highlight Composite Veneers
Highlight Composite Veneers
Highlight Composite Veneers
Highlight Composite Veneers
highlight Composite veneers
highlight Composite veneers
Highlight Veneers
Highlight Composite Veneers
Highlight Composite Veneers
Highlight Composite Veneers
Highlight Composite Veneers
Highlight Composite Veneers

Highlight Composite Veneers

Were placed on the front 4 teeth to improve this smile. She was born without her lateral incisors. So I had to make her canines look like lateral incisors. No damage was done to the teeth for this transformation.
Bioclear Method
Highlight Veneers to replace missing lateral incisors

Highlight Composite Veners to repair worn down teeth from grinding

highlight composite veneers

Highlight Composite Veneers used to close the large space

Space Closure with Composite Veneeers and Bioclear

4 Composite Highlight Veneers with gum lift used to transform the smile of this young teenager.

4 composite veneers to correct peg laterals
4 composite veneers and gum lift to correct peg laterals

Composite Veneers used to rejuvenate these two smiles

Bioclear Composite Veneer Smile Makeover
Bioclear Composite Veneer Smile Makeover

Peg lateral (small side teeth) were cosmetically enhanced with Highlight Composite Veneers - no damage done to the teeth. The patient for the second case was a dentist. It's always an honor to see other dentists as patients

Peg Laterals enhanced with Bioclear Composite Veneers
Peg Lateral Incisors restored with Composite Veneers
Peg Laterals restored with Highlight Composite Veneers
Peg Laterals restored with Highlight Composite Veneers

This young teenager, didn't want to go through high school with these small teeth and peg laterals. So in just a few hours we closed them with Composite Veneers using Bioclear techniques and natural effect techniques

tiny peg lateral composite Veneer smile makeover
composite veneers for small teeth

Both the below cases were people born with small side front teeth, called Peg Lateral Incisors. Both were fixed with whitening and 4 Highlight Composite Veneers

Composite Veneers and Kor whitening
Highlight Composite Veneers

It's always a bad day when someone falls and breaks their front teeth. These were fixed in just a couple of hours with Highlight Veneers. The two following cases you can see old stained bonded replaced with Highlight Veneers

Broken teeth fixed with composite veneers
Broken teeth fixed with composite veneers
Bonding replaced with Highlight Veneers
Bonding replaced with Highlight Composite Veneers

Bioclear Veneers

Used to close spaces and make the teeth look aligned
Bioclear Method

Highlight Bioclear Veneers Smile Makeover

This mans life was change in the 5 hours it took us to do this transformation
Bioclear Method

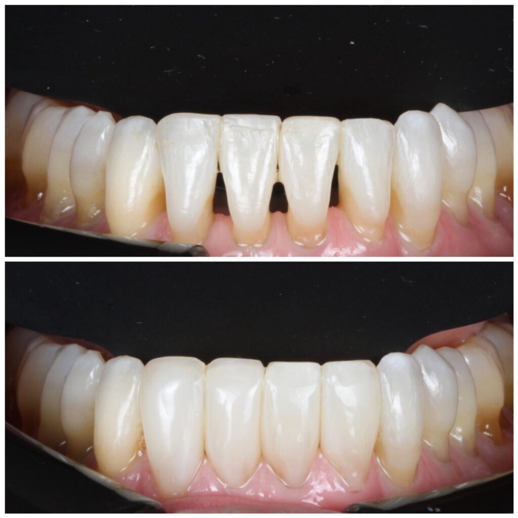
Bioclear Method Close Spaces and Black Triangles

Bioclear Method

Bioclear Method used to close black triangle with no damage done to the teeth

Black Triangle closure with Bioclear

Bioclear Method

The Bioclear Method was used to close the black triangles after Invisalign 

Unusual shaped teeth fixed with the Bioclear Method

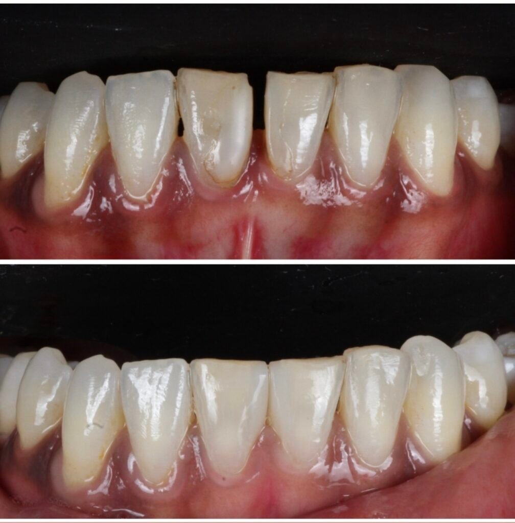
Having Black Triangles on your lower teeth is very common. We can fix that with the Bioclear Method

Lower teeth bioclear black triangles
Bioclear black triangle closure lower teeth
Bioclear Black Triangle Closure
Bioclear Black Triangle Closure
Bioclear Black Triangle Closure
Bioclear Black Triangles
Black Triangles fixed with Bioclear Method
Bioclear Black Triangle Closure
Bioclear Black Triangle Closure
Bioclear Black Triangle Closure
This awesome patient flew in from another state to have his black triangles closed with the Bioclear Method
Subtle Bioclear Black Triangle Closure - 1

Bioclear Method

Used to close black triangles and improve alignment and shape of teeth
Bioclear Method black triangle closure
Bioclear Method black triangle closure

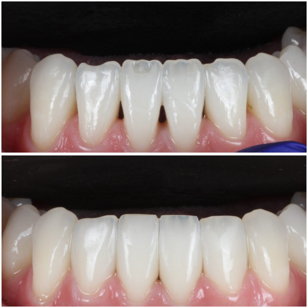
Bioclear Method Space Closures

These differ from the Highlight Veneers in that only the sides pf the teeth are added too.  Where Highlight Veneers change the whole tooth and color if desired.

Bioclear Space Closures
Bioclear Diastema Closure

Bioclear Method

Bioclear Method used to close space between teeth. No damage done to teeth.

Teeth Space closure with Bioclear

Bioclear Method

The Bioclear Method was used to close small gap, make peg laterals bigger and fix overall shape of teeth

 

4 composite veneers with natural effects

Bioclear Method

Bioclear Method used to close space between teeth. No damage done to teeth.

Bioclear Gap Closure

Bioclear Method

The Bioclear Method was used to close small gap, sometimes call a diastema

Bioclear Gap Closure

Bioclear Method

Bioclear Method used to close space between teeth. No damage done to teeth.

Bioclear Space Closure

Bioclear Method

The Bioclear Method was used to close small gap, sometimes call a diastema

Bioclear Space Closure

Bioclear Space Closures

Bioclear Veneers were used to close spaces and fix the chipped and broken teeth
Bioclear Method

Bioclear Space Closure

This diastema was closed using the Bioclear Method. This patient flew in from Atlanta, GA to have the treatment done.
Bioclear Method

Do You Want To Improve Your Smile?

TAKE OUR VIRTUAL CONSULT to find out some of your options.

Virtual Consult at Austin Artistic Dental bg img

What Our Patients Are Saying

Testimonials