Highlight Veneers

Composite Veneer Alternative to Porcelain Veneers

No shaving, No Cutting, All the Beauty

Highlight Your Smile With Highlight Veneers!

Highlight Veneers   can fix all those problems   AND MORE!

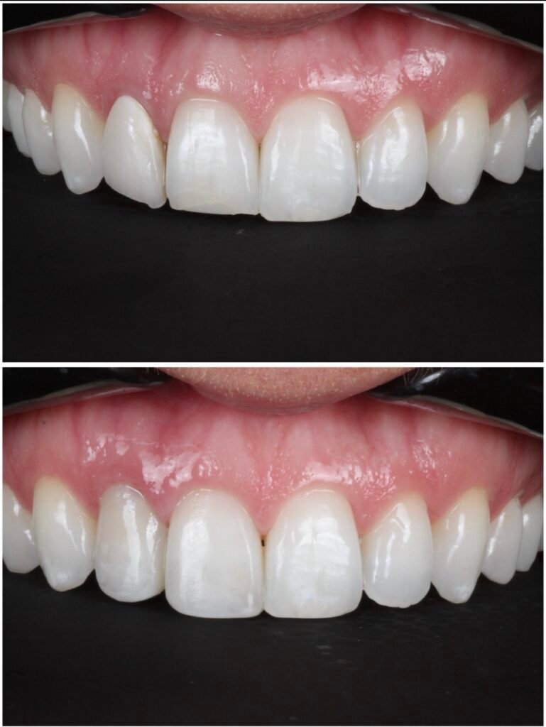
Highlight Veneers are an amazing alternative to porcelain veneers

Highlight Veneers are an amazing alternative to porcelain veneers. Porcelain Veneers have been used for a decades to change the appearance of people’s teeth and improve their smile. But until recently there was no good alternative to porcelain veneers. Dr. Hulse has been using composite with the Bioclear method to create beautiful smiles for many, many  years.  But Dr. Hulse has never stopped learning and innovating.  Combining the best techniques from the best cosmetic composite artists in the world, Dr. Hulse has blended many techniques to create his own brand of composite Veneers called Highlight Veneers.  If you’re looking for a different option to porcelain veneers, an option that is cheaper, quicker and more conservative submit a virtual consult and find out if you’re a candidate for Highlight Veneers. .

Highlight Composite Veneers
Highlight Veneers
highlight Veneer
Highlight composite Veneers Smile Makeover
Smile Makeover with Composite Veneers
Highlight Composite Veneers
Bioclear-smle-before-after
Composite Veneers Smile Makeover
AnyConv.com__Bioclear-1-scaled

Highlight Veneers can give you a perfect smile with NO DAMAGE, NO SHAVING, NO CUTTING DOWN of your natural teeth

highlight Composite veneers
highlight Composite veneers
Highlight Composite Veneers
Highlight Composite Veneers
Highlight Veneers
Highlight Composite Veneers

Highlight Veneers are one of the best ways to fix chipped and broken teeth.

Teeth can be restored with no additional tooth structure being removed. It truly is the most conservative treatment possible.

Highlight Composite Veneers
Highlight Composite Veneers

Were you in an accident? Highlight Veneers can fix broken teeth without crowns

Got hit in the face with a ball or bat?  Fell off your bike?  Got in a car accident?  Dog kissed you too hard and you bumped teeth?  You think I’m joking, but that happens! Well many dentists would shave your tooth down and do a crown.  I can fix it with Highlight Veneers and do no more damage to your tooth!

Fractured Tooth fixed with Highlight Composite Veneer
Fractured Tooth fixed with Highlight Composite Veneer
Broken teeth fixed with composite veneers
Broken teeth fixed with composite veneers
Highlight Composite Veneers for chipped teeth
Highlight Composite Veneers for chipped teeth

Highlight Veneers can fix peg laterals and other small teeth.

Some people are born with small front teeth called Peg Laterals. With Highlight Veneers we can make them larger and improve your smile with absolutely no damage to the teeth. It’s quick and beautiful. Highlight Composite Veneers are perfect for this.

tiny peg lateral composite Veneer smile makeover
Peg Laterals enhanced with Bioclear Composite Veneers
Composite Veneers for a teenager
Composite Veneers for a teenager
Teenager Smile Makeover with Bioclear Veneers
Bioclear Composite Veneers fixing peg laterals
Composite Veneers for Peg Lateral Incisors

Highlight Veneers Can Replace Broken and Old Porcelain Veneers

Sometimes people have poorly done Porcelain Veneers and even have had them fall off.  While Highlight Veneers won’t last forever, they will never completely fall off.  Below are some examples where we replaced broken porcelain Veneers with Highlight Composite Veneers

Broken porcelain veneer replaced with composite veneers
Broken porcelain veneer replaced with composite veneers
Highlight composite Veneers to replace porcelain veneers

What is a Highlight Veneer?

A Highlight Veneer  is Dr. Hulse’s brand of composite Veneers.  Dr. Hulse invented Highlight Veneers mixing and blending the best of Bioclear and other composite techniques that he has learned from the masters of the world.   

If you look at each smile on this page, you can see that each is an individual and unique work of art, crafted for that particular smile and person.  

Each smile is hand crafted by Dr. Hulse usually within one day.  There are no  temporaries,  no waiting to get your final smile.  And most importantly of all, there is no shaving and no cutting down of teeth!

 

 

How is this different than bonding?

Traditional bonding that is often used is based off of old techniques. While it has it’s place, it also has many shortcomings. Traditional bonding often leaves ledges that bacteria and plaque get caught on that can lead to staining, chipping, cavities, and bleeding gums. Highlight Veneers leaves teeth fuller, stronger and more beautiful, while doing no damage at all to the tooth!

How are Highlight Veneers different than Porcelain Veneers?

Porcelain Veneers are a way to cosmetically change the front of the teeth to make them more beautiful. Here at Austin Artistic Dental we are big fans of Porcelain Veneers, when done correctly, and at a high level. 

Porcelain Veneers are made of a type of glass/porcelain like material that is fabricated by a ceramicist outside the dental office then glued/bonded to you teeth at a later date. Highlight Veneers are a type of composite veneer. Composite is a type of material that is a mix of a plastic/resin  and glass/porcelain material.

Highlight Veneers are a type  of Composite Veneers and  have some advantages over Porcelain Veneers.

1.  Highlight Veneers are usually more conservative.  

Despite what some claim, the vast majority of the time, tooth structure needs to be taken away to place the Porcelain Veneers.  Though we  are experts at No Prep Porcelain Veneers, more people are candidates for No Prep Highlight Veneers.  Highlight Veneers are an additive technique. You’re adding to the tooth, making it stronger.

2.  Highlight Veneers are repairable.  

Porcelain Veneers are very strong, but they can chip, especially in people who grind their teeth (which is most people) or in an accident. When they do chip, they often can not be repaired and must be completely replaced, which can be costly. Since Highlight Veneers uses Dental Composite, not porcelain, if the teeth chip, they can be added to and repaired fairly easily and inexpensively. 

3.  Highlight Veneers are less expensive.  

While prices vary, Highlight Veneers are about 75%  the cost of a Porcelain Veneer, which makes it more affordable to many people.

Highlight Veneers are an amazing alternative to porcelain veneers.
Highlight your Smile with Highlight Veneers!

Do You Want To Improve Your Smile?

TAKE OUR VIRTUAL CONSULT to find out some of your options.

Virtual Consult at Austin Artistic Dental bg img

What Our Patients Are Saying

Testimonials